It’s great to hear that you’ve successfully completed your orthodontic treatment and had your brackets/invisible braces removed! We wonder about the placement of retainers after orthodontics. However, to ensure that your teeth stay straight and in the proper position, it is important that you wear retainers for a while.
Retainers will help prevent your teeth from returning to their previous position, which is especially important after you have invested time and effort in achieving a straight and beautiful smile.
Índice
Why is it important to place retainers after orthodontics?
It is important to place retainers after orthodontics to ensure that the teeth remain in their new position. After teeth have been moved with orthodontics, there is a risk that they may move back to their original position if they are not given time to stabilize in their new position. Retainers help keep teeth in place during this critical period and prevent recurrence of malocclusion. Ultimately, retainers are an important part of the orthodontic process and can help ensure that treatment results last a long time.
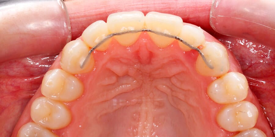
FIXED RETAINER
There are several types of orthodontic retainers available that are used for different purposes.
The fixed retainer, also known as a lingual retainer, is a type of retainer that is permanently attached to the back of the teeth with a thin wire. This wire conforms to the shape of the teeth and is secured with a special dental adhesive. The fixed retainer is a good option for those who want a long-term retention solution without having to worry about removing or placing it.
Fixed retainers are very effective in keeping teeth in position after orthodontics. Because they are attached to the teeth, fixed retainers can work 24/7 to keep teeth in place. However, fixed retainers can be more difficult to clean than removable retainers. They can also cause irritation to the tongue or back of the teeth.
REMOVABLE RETAINER
Removable retainers are a popular choice for those who want a retainer that they can take out and put in their mouth. These are made of an acrylic material that conforms to the shape of the teeth. Removable retainers are typically worn at night, although in some cases they can be worn during the day.
Removable retainers are easy to clean and do not cause irritation to the tongue or back of the teeth. In addition, they can be removed for eating or brushing teeth. However, removable retainers may be less effective than fixed retainers because they are not in the mouth 24 hours a day.
In summary, both types of retainers are effective in keeping teeth in position after orthodontics. The choice of a fixed or removable retainer will depend on the patient’s preferences, the type of orthodontics that has been performed and the orthodontist’s recommendations. It is important to follow the orthodontist’s instructions to ensure that the retainer is worn correctly and for the recommended length of time.
TIPS TO PREVENT TOOTH MOVEMENT
-
Wear retainers as recommended by the orthodontist: As mentioned above, retainer wear is essential to keep teeth in place after orthodontics. Follow your orthodontist’s instructions on when and how to wear your retainer.
-
Maintain good dental hygiene: Proper dental hygiene is essential to keep teeth in place after orthodontics. Brush your teeth at least twice a day and floss daily to prevent plaque and tartar buildup, which could cause tooth movement.
-
Avoid biting on hard objects: Biting on hard objects, such as pencils or pens, can damage teeth and cause tooth movement. Avoid biting on hard things to keep teeth in place so that retainers will not break.
-
Avoid sticky and sugary foods: Sticky and sugary foods can cause cavities and damage teeth. This can weaken teeth and cause them to move over time. Avoid sticky and sugary foods to keep teeth healthy and in place.
-
Make regular visits to the dentist and orthodontist: It is important to make regular visits to the dentist after orthodontics and the placement of retainers to ensure that the teeth are in good condition and that there are no problems with tooth movement.
By following these tips, you can keep your retainers in the best possible condition and your teeth aligned after orthodontics.
Remember it’s important to take care of your teeth for the long term!



