FLUOROSIS

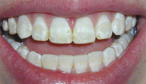
La fluorosis dental es un problema que se produce cuando el cuerpo recibe demasiado flúor durante la formación de los dientes. Esto puede dar lugar a manchas blancas en los dientes, que afectan tanto a la apariencia como a la salud bucodental.

En la Clínica Dental David Barcelona, en Barcelona, contamos con un servicio de odontopediatría especializado que puede ayudarte a prevenir y tratar la fluorosis dental en tus hijos.

Es importante tener en cuenta que el cuidado de los dientes de leche es fundamental para garantizar una correcta salud bucodental en la edad adulta. Por eso, te recomendamos seguir nuestras recomendaciones y programar citas regulares para asegurar una buena higiene dental infantil.

¿Qué es la fluorosis?

La fluorosis es una afección que puede afectar la estética de la dentadura, especialmente en aquellas personas que han consumido flúor en exceso durante la infancia. En la Clínica Dental David Barcelona, en Barcelona, sabemos que el flúor es fundamental para la salud y fortaleza del esmalte dental, pero en dosis excesivas puede provocar manchas blancas en los dientes conocidas como fluorosis dental.

 

Aunque la fluorosis no suele presentar problemas de salud graves, sí puede ser muy visible y afectar a la estética de la sonrisa. Las manchas blancas provocadas por el consumo excesivo de flúor suelen ser rugosas y, en algunos casos, pueden tener forma de grieta.

 

En la Clínica Dental David Barcelona, en Barcelona, somos conscientes de la importancia de la higiene dental infantil para garantizar una correcta salud bucodental en la edad adulta. Por eso, contamos con un servicio de odontopediatría especializado que planifica tratamientos pediátricos personalizados y adaptados a las necesidades de cada niño. Si tienes dudas sobre la fluorosis o quieres saber más sobre cómo prevenir esta afección, no dudes en ponerte en contacto con nosotros.

Causas de la fluorosis

Hay varias causas que pueden llevar a la aparición de fluorosis dental, siendo la principal la ingesta excesiva de flúor durante la infancia. Es importante tener en cuenta que el flúor es un elemento químico beneficioso para la salud de nuestros dientes, pero en exceso puede tener efectos negativos.

Otras causas de la fluorosis dental pueden incluir:

  • Consumo de agua con altos niveles de flúor: en algunas regiones del mundo, el agua potable contiene altos niveles de flúor. Si los niños consumen grandes cantidades de esta agua, pueden desarrollar fluorosis.
  • Uso de productos de higiene dental con alto contenido de flúor: muchas pastas de dientes y enjuagues bucales contienen flúor para proteger los dientes, pero si se utilizan en exceso pueden aumentar el riesgo de fluorosis.
  • Consumo de medicamentos con flúor: algunos medicamentos para el tratamiento de trastornos del esqueleto y de la nutrición contienen flúor, y pueden aumentar el riesgo de fluorosis si se consumen en grandes cantidades durante la infancia.
  • Es importante tener en cuenta que la fluorosis es una afección que se produce durante la formación de los dientes de los niños, por lo que es fundamental prestar atención a la higiene bucal infantil y evitar el consumo excesivo de flúor durante la infancia. En la Clínica Dental David Barcelona contamos con un servicio de odontopediatría especializado que puede ayudar a proteger la salud dental de los más pequeños.

¿Cómo prevenir la fluorosis?

Es importante tener en cuenta que, aunque el flúor es esencial para la salud bucodental, en exceso puede resultar perjudicial. Por esta razón, es fundamental que los niños no consuman grandes cantidades de este compuesto durante su infancia. Algunos de los pasos que podemos seguir para prevenir la fluorosis son:

  1. Controlar la ingesta de flúor: es esencial que los niños no consuman grandes cantidades de flúor durante su infancia. Esto incluye el agua potable y los productos de higiene bucodental que utilicen.
  2. Visitar periódicamente al odontopediatra: es fundamental que los niños visiten al odontopediatra de forma regular para que puedan detectar cualquier problema a tiempo.
  3. Instaurar hábitos de higiene: es importante que los niños aprendan a realizar una buena higiene dental desde temprana edad. Esto incluye cepillarse los dientes al menos dos veces al día y utilizar productos de higiene especialmente formulados para ellos.
  4. Tener una alimentación saludable: los buenos hábitos alimentarios también son necesarios para la prevención de enfermedades orales en los niños. Es esencial que incluyan alimentos ricos en nutrientes y eviten aquellos que puedan ser perjudiciales para sus dientes.

TRATAMIENTO FLUOROSIS

La fluorosis dental es una lesión que se produce en el esmalte de los dientes de aquellas personas que han consumido flúor en exceso durante la infancia. Se manifiesta en forma de manchas blancas y rugosas en los dientes. Aunque no es una afección grave a nivel de salud, sí que puede tener implicaciones estéticas importantes.

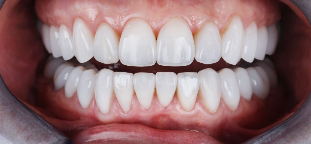
En la Clínica Dental David Barcelona, en Barcelona, llevamos a cabo tratamientos personalizados para la fluorosis dental. Uno de los más conservadores es la colocación de carillas de porcelana, que se pegan a la cara externa de los dientes y mejoran la estética de la sonrisa. Otra opción es la colocación de fundas dentales, que recubren completamente un diente dañado. En casos más graves, podemos recurrir a la colocación de implantes dentales.

Además, es importante prevenir la fluorosis dental mediante una buena higiene oral y una nutrición adecuada. Es recomendable acudir periódicamente al odontopediatra para detectar cualquier problema en la formación de los dientes de los niños. Con estos cuidados podremos evitar que nuestros pequeños tengan problemas de fluorosis y disfruten de una sonrisa perfecta.

estetica dental

Reserva tu cita hoy:

Encuentra el tratamiento ideal para tu sonrisa